Viele Handverletzungen sind selbst verschuldet, erklärt eine Ärztin. Besonders häufig betroffen sei vor allem eine Personengruppe.
Böller-VerletzungenWas eine Handchirurgin in der Silvesternacht erlebt

Harhaus-Wähner steht dieses Silvester am Operationstisch.
Copyright: Markus Lenhardt/dpa
Abgetrennte Finger, durchtrennte Sehnen, Amputationen - die Handchirurgin Leila Harhaus-Wähner hat in der Silvesternacht schon vieles gesehen. Auch in diesem Jahr rechnet die Berliner Ärztin mit zahlreichen Böller-Verletzten. „Für Handchirurgen ist es klar, dass Silvester die arbeitsreichste Nacht sein kann.“ Bis 24 Uhr passiere erstmal nicht so viel, ab 1 Uhr, 2 Uhr nachts kämen immer mehr Verletzte in die Notaufnahme und dann „sehr viele in sehr kurzer Zeit.“
Harhaus-Wähner ist Direktorin der Klinik für Hand-, Replantations- und Mikrochirurgie am Unfallkrankenhaus Berlin. In der Regel würden innerhalb von 24 Stunden 100 bis 120 Menschen in der Notaufnahme behandelt. An Silvester seien es etwa 250 bis 300, andere Notfälle wie Schlaganfälle oder Herzinfarkte einberechnet. Es kämen Menschen mit Verbrennungen, Verletzungen am Auge, Betrunkene mit gebrochenem Arm und eben Menschen mit Handverletzungen.
Verletzungen mit lebenslangen Folgen
In der Handchirurgie müssten an Silvester im Unfallkrankenhaus rund 20 bis 40 Menschen mit Böllerverletzungen operiert werden, sagt die Ärztin. Dieses Jahr werde sie mir vier weiteren Handchirurgen im Einsatz sein. Die häufigsten Verletzungen entstünden durch explodierende Böller in der Hand.

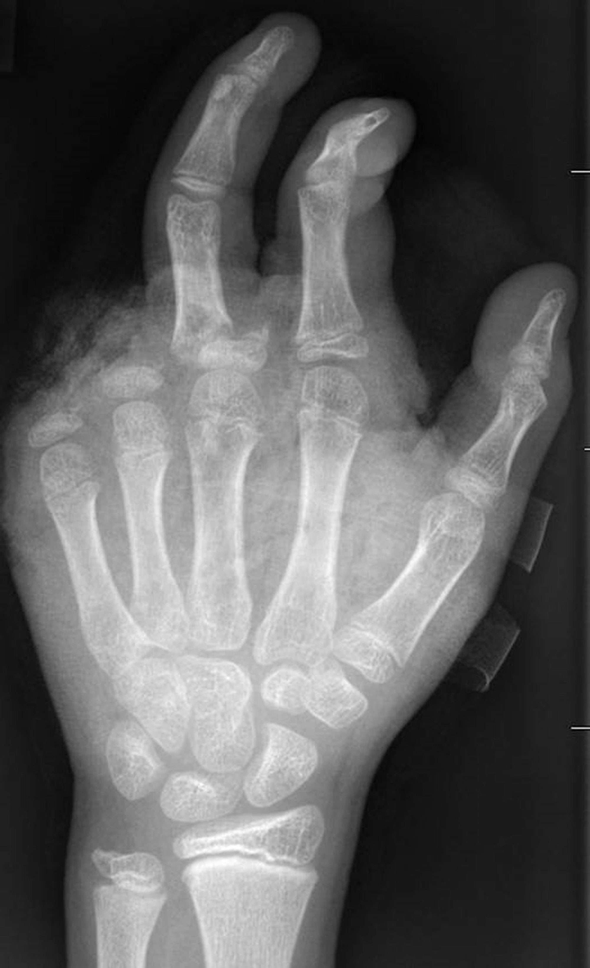
So kann ein Röntgenbild nach einer missglückten Böllerexplosion aussehen: Zwei Finger fehlen.
Copyright: -/UKB/dpa
„Der überwiegende Teil der Verletzungen trägt tatsächlich lebenslange Folgen mit sich, weil die Sprengkraft dazu führt, dass eben nicht nur einzelne Strukturen verletzt sind, sondern immer mehrere. Und das heilt praktisch nie ganz folgenlos ab.“ Zum Teil könnten Hände nicht mehr gerettet und müssten amputiert werden.
Schlimmere Verletzungen durch Kugelbomben
Ein Großteil der Verletzungen sei selbst verschuldet. Die Professorin schätzt den Anteil auf 70 bis 80 Prozent. Sehr häufig seien die Betroffenen betrunkene Männer zwischen 20 und 40 Jahren. Die restlichen Patientinnen und Patienten würden zufällig zum Opfer, etwa weil sie beworfen würden. Zum Teil nähmen Kinder nicht gezündete Feuerwerkskörper in die Hand, die dann unerwartet explodierten. Im Unfallkrankenhaus Berlin werden Patienten und ihre Angehörigen bei Bedarf von Traumapsychologen betreut.
Für eine neue Dimension habe im vergangenen Jahr das illegale Abbrennen von Kugelbomben gesorgt. „Die Patienten mit Verletzungen durch Kugelbomben weisen sehr viel stärkere Verletzungsmuster auf, die auch den ganzen Körper betreffen, weil diese Explosion ungerichtet stattfindet. Und das sind nicht nur Hände und Gesichter, sondern auch Bauch, Beine.“ Alle Körperareale seien gleichermaßen gefährdet.
Vergangenes Jahr wurde ein Siebenjähriger in Berlin schwer durch eine Kugelbombe verletzt und musste Dutzende Male operiert werden. Er überlebte nur knapp. (dpa)

