Der Mann war in einem Reisebus auf der A3 zwischen Bonn und Köln unterwegs. Auf die Beamten machte er einen auffälligen Eindruck.
„Trauriger Rekord“Kölner Zoll macht riesigen Drogenfund im Magen eines 50-Jährigen

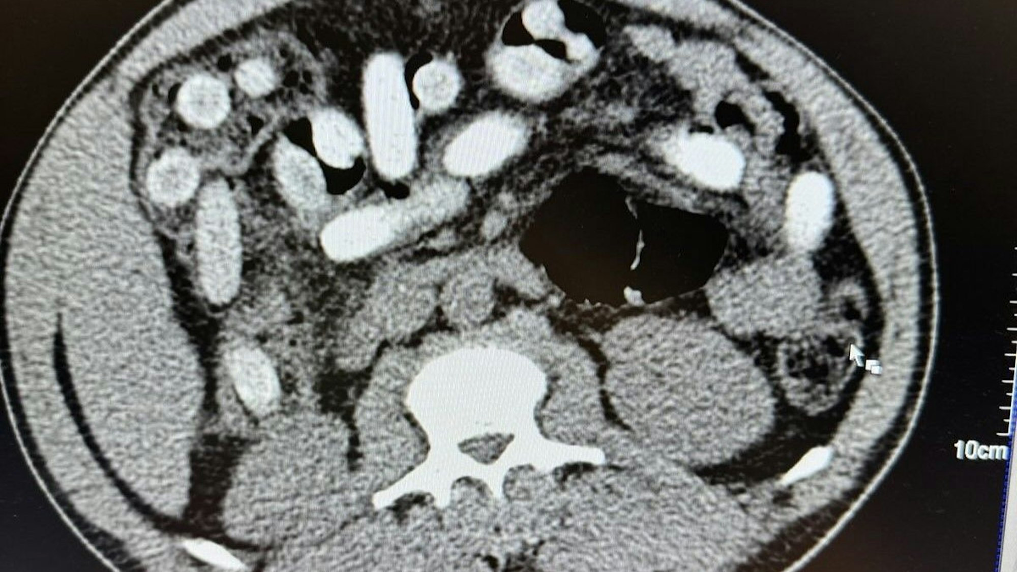
Die Polizei veranlasste ein Röntgenbild vom Magen des Verdächtigen.
Copyright: Hauptzollamt Köln
Dem Kölner Zoll sind zwei besondere Drogenfunde gelungen. Bereits Ende Januar kontrollierten Beamte und Beamtinnen einen Mann in einem Reisebus auf der A3 zwischen Bonn und Köln. Im Juli stoppten sie zwei Frauen am Kölner Hauptbahnhof.
Kölner Polizei macht Aufnahme von Magen-Darm-Trakt
Bei einer Kontrolle auf einem Rastplatz der A3 zwischen Bonn und Köln stoppten die Zöllner und Zöllnerinnen einen Reisebus auf dem Weg von Amsterdam nach Venedig. Ein 50-jähriger Italiener verhielt sich nervös, machte widersprüchliche Angaben und hatte kaum Gepäck bei sich. Ein Drogenwischtest an seinen Händen reagierte positiv auf Kokain.
Eine Röntgenaufnahme in einem Krankenhaus bestätigte den Verdacht. „Der komplette Magen-Darm-Trakt des Mannes war voll mit Drogenpäckchen, sogenannten Bodypacks. In der Größe und Form sind diese mit Datteln vergleichbar“, erklärte Jens Ahland, Pressesprecher des Hauptzollamts Köln.
Kölner Zoll findet 111 Päckchen Kokain im Körper eines Verdächtigen
Insgesamt habe der Mann 111 Päckchen mit rund 1,3 Kilogramm Kokain geschluckt. „Das Risiko beim Körperschmuggel ist enorm. Wenn nur ein Päckchen im Körper aufgeht, ist das Leben des Mannes nicht mehr zu retten“, so Ahland.

111 sogenannte Bodypacks mit Kokain haben die Beamten im Magen des Mannes gefunden.
Copyright: Hauptzollamt Köln
Der Mann wurde am 18. Juli 2025 vom Landgericht Bonn wegen Einfuhr von Betäubungsmitteln zu einer Freiheitsstrafe von drei Jahren und sechs Monaten verurteilt.
Mutter und Tochter schmuggeln Heroin im Magen
Ein weiterer Fall ereignete sich am Mittag des 3. Juli 2025 am Kölner Hauptbahnhof. Dort überprüften Beamte und Beamtinnen zwei Frauen im Alter von 64 und 42 Jahren. Die Reisenden gaben an, Mutter und Tochter zu sein. Auch bei ihnen schlug ein Drogenwischtest an den Händen auf Kokain an.
Bei einer genaueren Überprüfung fanden die Beamtinnen und Beamten zunächst knapp sechs Gramm Heroin in der Jacke der 64-Jährigen. Daraufhin gestanden beide Frauen, eine größere Menge Heroin in Kondomen verpackt vaginal eingeführt zu haben. „Insgesamt hatten Mutter und Tochter fast 140 Gramm Heroin im Körper geschmuggelt. Auch das ist ein Novum für den Kölner Zoll und - wie jede Art von Körperschmuggel - extrem gefährlich“, sagte Ahland. Die weiteren Ermittlungen führt das Zollfahndungsamt Essen. (jv/red)

